Exposed-Dentin-Explained-What-It-Means-for-Your-Oral-Health

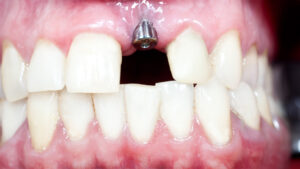
Close-up of dental implant with gum infection showing why some dental implants fail